Sitting in traffic for just 2 hours can lead to brain damage

Breathing in diesel exhaust fumes while sitting in traffic could be disastrous for your brain, a new neuroscience study warns. A team at the University of British Columbia says brain scans show increased impairments in brain function after exposure to traffic pollution. In fact, signs of decreased brain function can start to appear in as little as two hours.

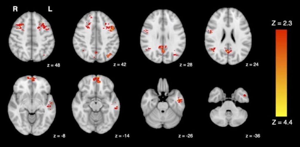
The study focused on a person’s functional connectivity — a measure that tests how well different brain regions interact with one another. According to the study authors, this is the first controlled experiment to show evidence of humans showing altered brain network connectivity as a result of air pollution exposure.

“For many decades, scientists thought the brain may be protected from the harmful effects of air pollution,” says Chris Carlsten, a professor and head of respiratory medicine and the Canada Research Chair in occupational and environmental lung disease at UBC, in a university release. “This study, which is the first of its kind in the world, provides fresh evidence supporting a connection between air pollution and cognition.”

The team briefly exposed 25 healthy adults to either diesel exhaust or filtered air in a lab. They used functional magnetic resonance imaging (fMRI) to measure their brain activity before and after each exposure. One of the areas they looked at for possible changes is the brain’s default mode network (DMN). The DMN includes several brain regions connected together that play a part in people’s internal thoughts and memories. The fMRI scans show that people exposed to diesel exhaust have lower DMN activity compared to the air-filtered group.

“We know that altered functional connectivity in the DMN has been associated with reduced cognitive performance and symptoms of depression, so it’s concerning to see traffic pollution interrupting these same networks,” explains study first author Jodie Gawryluk, a psychology professor at the University of Victoria. “While more research is needed to fully understand the functional impacts of these changes, it’s possible that they may impair people’s thinking or ability to work.”

The good news is that the neurological effects from diesel exhaust were temporary. Every person exposed to air pollution had their brain activity return to normal. However, the study authors speculate that long-term exposure, like sitting in gridlock traffic every day, may cause more permanent damage. While we don’t know how much car exhaust could cause long-lasting brain damage, Dr. Carlsten says it’s better to minimize any exposure in the first place.

fMRI shows decreased functional connectivity in the brain following exposure to traffic pollution. (Credit: University of British Columbia)

“People may want to think twice the next time they’re stuck in traffic with the windows rolled down,” says Dr. Carlsten. “It’s important to ensure that your car’s air filter is in good working order, and if you’re walking or biking down a busy street, consider diverting to a less busy route.”

The study is published in Environmental Health.

Sitting in traffic for just 2 hours can lead to brain damage – Study Finds
Unknown's avatar

About Respro® UK Ltd

Respro® Masks: Cycle masks, motorcycle masks and allergy masks. External wear for internal protection.
This entry was posted in Air Quality, Health Effects of Air Pollution, Medical Studies and tagged , , , , . Bookmark the permalink.

Leave a comment